【貴陽生物實驗室】:有關吉姆薩與瑞氏染色原理
吉姆薩(Giemsa)染色法:吉姆薩染液由天青,伊紅組成。染色原理和結果與瑞特染色法基本相同。
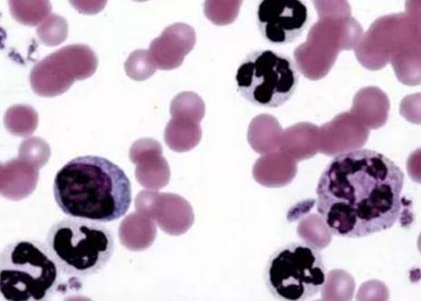
嗜酸性顆粒為堿性蛋白質,與酸性染料伊紅結果,染粉紅色,稱為嗜酸性物質;細胞核蛋白和淋巴細胞 胞漿為酸性,與堿性染料美藍或天青結合,染紫藍色,稱為嗜堿性物質;中性顆粒呈等電狀態與伊紅和美藍均可結合,染淡紫色,稱為中性物質。
PH對細胞染色有影響。細胞各種成分均不蛋白質,由于蛋白質系兩性電解質,所帶電荷隨溶液PH而定,在偏酸性環境中下在電荷增多,易與伊紅結合,染色偏紅;在偏三性環境中負電荷增多,易與美藍或天青結合,染色偏藍。因此細胞染色對氫離子濃度十分敏感,染色用正經片必須清潔,無酸堿污染。配制頊特液必須用優質甲醇,稀釋染色必須用緩沖液,沖洗用水應近中性,否則可導致各種細胞染色反應異常,以致識別困難,甚至造成錯誤。
一般性操作技術血涂片制備;細胞染色;顯微檢查;血液病診斷;染色不良;瑞特(Wright)染色法;酸性染料;伊紅;堿性染料;亞甲藍;吸附作用;PH對細胞染色的影響;甲醇;吉姆(Giemsa)染色法春天要常用潤膚劑,它含有松香油脂酸和豐富維生素a,常用可加快皮膚血液循環,剌激面部細胞分泌,有效改善皮膚生理環境,減少氣候對皮膚的危害。
1.瑞特(Wright)染色法 :為發觀察細胞內部結構,識別各種細胞及其異常變化,血涂片必須嘲行染色。血涂片的各種染色方法大多是羅氏染色法衍變來的。目前常用瑞特染色法。
(1)瑞特染料是由酸性染料伊紅和堿性染料亞甲藍組成有復合染料。亞甲藍為四甲基硫堇染料,有對醌型和鄰醌型兩種結構。通常為氯鹽,即氯化美藍。美藍容易氧化為一、二、三甲基硫堇等次級染料。市售美藍中部分已被氧化為天青。伊紅通常為鈉鹽。即伊紅和伊混合后,產生一種憎液性膠體伊紅美藍中性沉淀,即瑞特染料。
(2)細胞的染色既有物理的吸附作用,又有化學的親和作用,各種細胞成分化學性質不同,對各種染料的親和力也不一樣。因此,用本染料液染色后,在同一血片上,可以看到各種不同的色彩,例如血紅蛋白,嗜酸性顆粒為堿性蛋白質,與酸性染料伊紅結果,染粉紅色,稱為嗜酸性物質;細胞核蛋白和淋巴細胞 胞漿為酸性,與堿性染料美藍或天青結合,染紫藍色,稱為嗜堿性物質;中性顆粒呈等電狀態與伊紅和美藍均可結合,染淡紫色,稱為中性物質。
新鮮配制的染料偏堿,須在室溫或是37℃下貯存一定時間,待染料成熟,主要是美藍逐漸轉變為天青B后才能使用,貯存時愈久,染色效果愈好。EAM GILLILAND等采用吸光度比值作為頊特染液的質量規格。rA測定方法如下:取瑞特染液15-25μl(視染液濃度而定),加甲醇10ml稀釋,混勻后以甲醇為空折管,分別以波長650nm和25nm比色。Ra=a650/a525.因為美藍吸收峰小組長為650nm,伊紅吸收峰波長為525nm ;天青B吸收峰也為650nm但吸光度A約為美藍的一半。所以新配染料rA接近2,隨著美藍逐漸氧化為天青B,RA也相應下降。RA下降到1.3±0.1時即可使用。瑞特染液貯存過程中,必須塞嚴,以防止甲醇揮發和被氧化成甲酸。有人主張在配方中加入甘油30ml,防止甲醇揮發,關可合細胞染色清晰。甲醇必須純凈,如甲醇中丙酮含量過多,染色偏酸,使白細胞著色不良。
2.吉姆薩(Giemsa)染色法 :吉姆薩染液由天青,伊紅組成。染色原理和結果與瑞特染色法基本相同。但本法對細胞核和寄生蟲著色較好,結構顯示更不清晰,而胞質和中性顆粒則著色較差。為兼顧二者之長,可用復合染色法。即以稀釋吉姆薩液代替緩沖液,按瑞特染色法染10min。或先用瑞特染色法染色后,再用稀釋吉姆薩復染。
相關標簽:
本文鏈接: http://m.msedns.com/news/10553.html
本文鏈接: http://m.msedns.com/news/10553.html
![貴州吉創生物技術有限公司[官網]](/Public/Uploads/image/picture/160userid20180911_p1536645747.png)












































